Not Sever's Disease

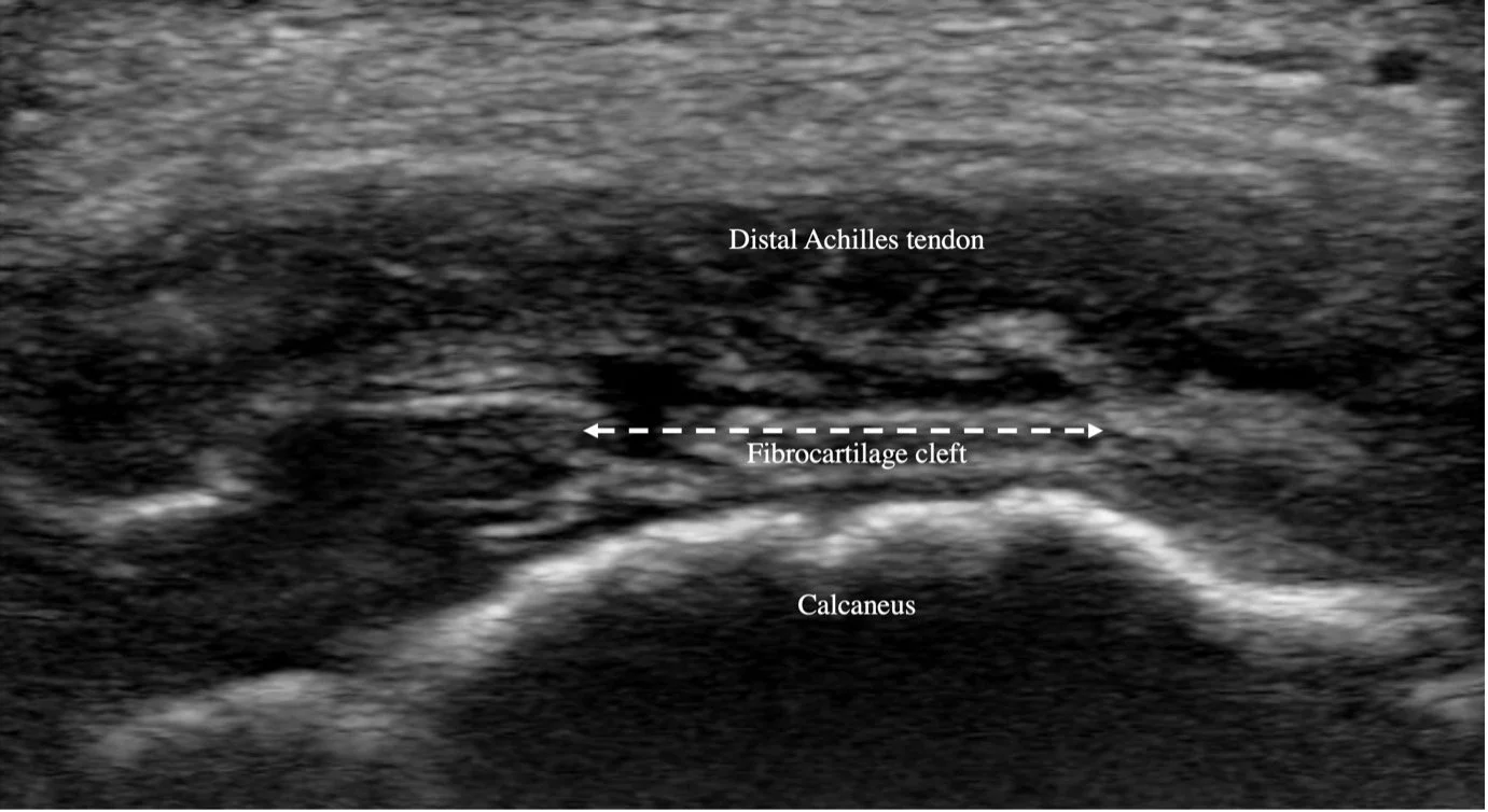
A 10-year-old boy, very active, presents with a 4-month history of heel pain, aggravated by activity. The onset coincided with a fall from his scooter. Is this Sever’s disease?

Have a look at the images and see if they match the generally accepted clinical picture of Sever’s.

Sometimes the reported onset may be a red herring. In this case, though all other history items pointed to Sever’s disease, it clearly wasn’t. When we examine children with Sever’s, there are seldom objective findings of injury, and “no cause for pain identified” ultrasound examination is reassuring. Sometimes however, we do find an injury or damage, and this usually necessitates further investigation or specific management. This case shows it’s well worth investigating clinical symptoms of Sever’s disease.

Previous
Previous

Musculoskeletal Ultrasound Information event – 29 Aug 2022

Next
Next

Quality healthcare is accessible to all.